Жительница Прикамья осуждена за то, что сломала ноги сожительницы бывшего мужа

Чусовской суд назначил 3 года условно, а апелляция оставила приговор без изменений.

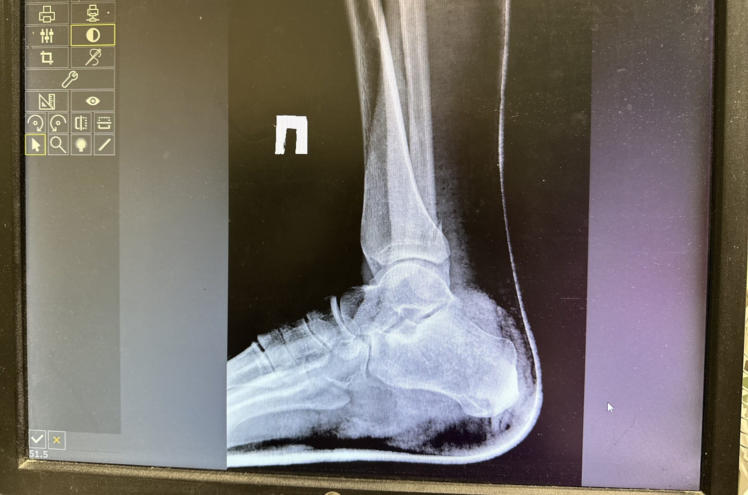
В Пермском крае суд вынес приговор местной жительнице, которая во время конфликта избила новую сожительницу своего бывшего супруга. В результате потерпевшая получила множественные переломы обеих ног, сообщили в Пермском краевом суде.

Инцидент произошел во время имущественного спора. Женщина в сопровождении подруг приехала к бывшему мужу, чтобы забрать вещи, которые пропали с ее дачи после развода. В ходе ссоры она избила новую сожительницу бывшего супруга, вышедшую на шум. В результате потерпевшая получила множественные переломы обеих ног.

Чусовской городской суд признал женщину виновной в умышленном причинении тяжкого вреда здоровью и назначил наказание в виде 3 лет условно. Потерпевшая подала апелляционную жалобу, считая приговор слишком мягким.

Пермский краевой суд оставил решение без изменений, подтвердив правильность учета смягчающих обстоятельств. Суд также отметил, что потерпевшая имеет право подать гражданский иск о компенсации морального вреда.

Данные о правообладателе фото и видеоматериалов взяты с сайта «В курсе», подробнее в Условиях использования