Пересадку кожу для заживления тяжелого перелома провели воронежские врачи

Пересадку кожу для заживления тяжелого перелома провели воронежские врачи

Пациента выписали
Пациент с тяжелой травмой предплечья обширным дефектом мягких тканей и переломом локтевой кости попал в ВГКБ №2 им. К.В. Федяевского.
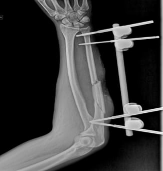
Вначале доктора хирургически обработали рану раны с пластикой местными тканями и установили аппарат КСВП (для быстрой чрезкостной фиксации переломов трубчатых костей) на локтевую кость предплечья.

Через две недели провели кожную пластику, где использовали расцепление кожного лоскута. Такую процедуру применят для заживления обширных ран.

Как проходит операция
Врачи используют тонкий (0,1-0,8мм) поверхностный слой кожи. Его забирают дерматомом (специальный инструмент). Лоскут перфорируют, увеличивают его площадь в несколько раз. Потом его укладывают на подготовленную рану и фиксируют швами. Лоскут врастает в рану и закрывает ее.

А участок, откуда кожу забрали, заживает самостоятельно – ростковая часть кожи остается на месте.

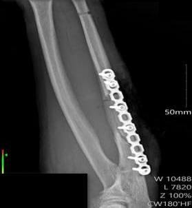
Спустя три недели медики сделали открытую репозицию (процедуру, направленную на сопоставление фрагментов кости после перелома), и погружной остеосинтез локтевой кости пластиной и винтами – фиксирующие элементы установили в область перелома.
Анатомическая целостность локтевой кости была восстановлена, а обширный дефект мягких тканей рук устранен.
Пациент выписан из стационара в удовлетворительном состоянии.

Состав операционной бригады:

— заведующая хирургическим отделением №1 Светлана Бакулина;

— хирург Любовь Семенова;

— травматолог-ортопед Дмитрий Разумный;

— анестезиолог-реаниматолог Игорь Федорищев;

— операционная сестра Анна Прокофьева;

— медсестра-анестезист Алла Беленова.

Екатерина Кочетова

Данные о правообладателе фото и видеоматериалов взяты с сайта «Блокнот Воронеж», подробнее в Условиях использования